Más seguridad, más control, más Ortodoncia real!
¡Se acabó la inseguridad al planificar y ejecutar tus casos! En OrthoEvolution, llevarás tu práctica clínica al siguiente nivel, desde el diagnóstico y pronóstico, pasando por la definición de objetivos terapéuticos sólidos, hasta la construcción de protocolos eficientes.
Un programa intensivo dividido en 4 módulos clave:
Prescripciones de brackets del Sistema Capelozza para la técnica de STRAIGHTWIRE.
Ortodoncia invisible: tipos de alineadores y su uso en tratamientos simples y complejos.
Aseguras tu lugar y recibes, de regalo, una experiencia clínica completa con bonos que potencian tus resultados.
160 horas distribuidas en 4 módulos intensivos para transformar tu práctica clínica.
Ejemplar de diagnóstico ortodóntico firmado por el Prof. Capelozza.
Todo el material práctico está incluido. No necesitas traer nada.
Kit exclusivo con 5 prescripciones originales del Sistema Capelozza.
6 días de estadía por módulo, con desayuno incluido en Hotel Omega Flat.
Bata de laboratorio personalizada con el nombre del curso y tuyo.
Cada módulo incluye un día exclusivo dedicado a la planificación de los casos clínicos de los alumnos.
¡Aprende a atraer y retener pacientes con técnicas de marketing y ventas comprobadas!
Aprende con profesores de referencia nacional e internacional en Ortodoncia.







Lo que dicen sobre nuestra experiencia formativa.
"¡Hagan este curso! Súper completo, con mucho conocimiento, práctica clínica y un equipo de profesores que nos hace sentir como en casa. ¡Y el ambiente ni se diga comodidad y sofisticación!"
"La mejor formación que cualquier profesional desea: ser un O.R.T.O.D.O.N.C.I.S.T.A con todas las letras mayúsculas."
"¡Una especialización en ortodoncia completa! Estoy en el lugar correcto 🏆"
"Es como aprender música con los Beatles."
¡Perfecto! Enseñanza de excelencia, práctica basada en evidencia, un equipo docente impecable... lo mejor que uno puede desear. 👏👏👏👏
Esta especialización realmente cambia vidas. Muchas gracias, profesor ❤️👏👏👏
¡Hacer la especialización en Ortodoncia con ustedes en Bauru fue una de las mejores decisiones de mi vida! ¡Ahora, en el Instituto Capelozza, con toda esta estructura, debe estar PERFECTO! ¡Lo recomiendo con los ojos cerrados! ❤️
¡La base sólida que el Profesor Dino es capaz de darnos resuena para siempre en nuestra vida profesional! Lo recomiendo con los ojos cerrados. ❤️
¡Sin duda, la mejor elección que hice en mi vida profesional!
Es una gran alegría saber y ver que el "maestro de la Ortodoncia", Dino Capelozza, ha vuelto con su curso de especialización que formó generaciones de ortodoncistas destacados, y que ahora lidera un equipo de jóvenes ortodoncistas exitosos en un espacio realmente increíble y acogedor en la capital mundial de la Odontología: Bauru/SP/Brasil. ¡Éxito garantizado!
Lo recomiendo sin duda alguna. La especialización con el profesor Dino transformó mi vida profesional. ¡Eternamente agradecida por todo el conocimiento transmitido!
¡Perfecto! Enseñanza de excelencia, práctica basada en evidencia, un equipo docente impecable… ¡lo mejor que uno puede desear! 👏👏👏👏
¡Lo super recomiendo! ¡Sin duda el mejor curso de especialización con los mejores profesores! ¡Estoy extremadamente agradecida con ustedes por todo el conocimiento y la enseñanza transmitidos! 👏👏
¡El mejor curso de Especialización en Ortodoncia! ¡La filosofía del profesor nos abre la mente y transforma nuestra visión de la ortodoncia! ¡Me siento muy orgullosa de haberme formado con Dino Capelozza y aplico su enseñanza diariamente en mi consultorio! ¡Lo recomiendo con los ojos cerrados!
Muy agradecido al Dr. Dino y a su equipo por la base sólida y fuerte en Ortodoncia. Curso sensacional. ¡Éxito total! 🔥🚀

4 módulos de cinco días
1 módulo cada 2 meses en promedio
total de 160 horas de curso
WhatsApp: +55 (14) 99605-1381

4 módulos de cinco días
1 módulo cada 2 meses en promedio
total de 160 horas de curso
WhatsApp: +55 (14) 99605-1381

4 módulos de cinco días
1 módulo cada 2 meses en promedio
total de 160 horas de curso
WhatsApp: +55 (14) 99605-1381
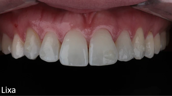
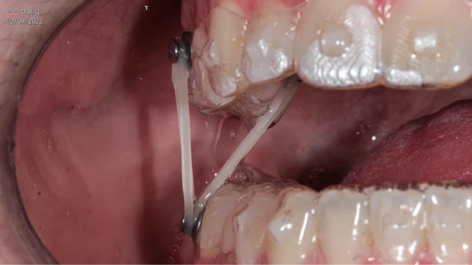
Resultados reales obtenidos por nuestros alumnos, basados en un diagnóstico preciso y una filosofía sólida.






¡No te pierdas nuestro webinar gratuito sobre ortodoncia!
Inscríbete aquí y descubre cómo planificar correctamente la colocación de brackets para obtener resultados óptimos.
¿Te sientes inseguro al planificar o ejecutar tratamientos?
Con OrthoEvolution, desarrollarás un diagnóstico preciso, objetivos terapéuticos sólidos y protocolos clínicos estratégicos que generan resultados reales.
La evolución de tu práctica comienza ahora.



















